Клінічний випадок естетичного відновлення твердих тканин зуба вінірами

13 березня 2024

Шановні стоматологи!

Пропонуємо до вашої уваги новий клінічний випадок естетичного відновлення твердих тканин зуба вінірами із використанням GC INITIAL LiSi Block, структурної кераміки ONE SQIN та фіксаційної системи GC G-CEM Veneer.

Клінічний випадок люб’язно надали лікар-консультант Дмитро Ковальчук та зубний технік-демонстратор Михайло Топтигін.

ВІНІРИ БАГАТО

1. Відновлення естетичної зони різців завжди є викликом для лікаря та техніка.

Клінічний випадок естетичного відновлення твердих тканин зуба вінірами

2. Відтворення форми майбутньої реставрації в порожнині рота проводили з використанням прозорого силікону GC EXACLEAR та композиту подвійного твердіння GC TEMPSMART DC відтінку А1.

Клінічний випадок естетичного відновлення твердих тканин зуба вінірами

3. Керамічна реставрація виготовлена з структурної кераміки GC INITIAL ONE SQIN.

Клінічний випадок естетичного відновлення твердих тканин зуба вінірами

4. Ультратонкі реставрації мають високу міцність та природну оптику.

Клінічний випадок естетичного відновлення твердих тканин зуба вінірами

5. Використання системи Універсального покоління G-PREMIO Bond та композитного нанонаповненого цементу G-CEM Veneer дозволяє досягти видатного ступеня фіксації внаслідок високих показників зносостійкості.

Клінічний випадок естетичного відновлення твердих тканин зуба вінірами

6. Наявність широкого спектра відтінків та примірочних паст G-CEM Veneer дозволяє досягти високоестетичного результату.

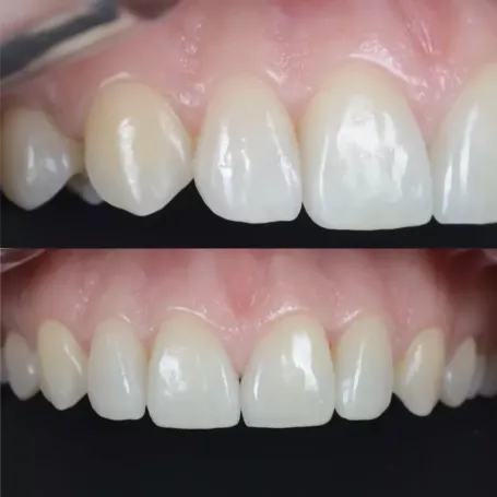
Клінічний випадок естетичного відновлення твердих тканин зуба вінірами

7. Вигляд реставрацій через 2 тижні після фіксації.

Клінічний випадок естетичного відновлення твердих тканин зуба вінірами

8. Контрольний огляд реставрацій через 3 роки після фіксації.