Клінічний випадок від техніка-демонстратора GC Ukraine Павла Мілованова

29 вересня 2021

Шановні зубні техніки!

Група компаній "КРІСТАР" пропонує до вашої уваги клінічний випадок наданий техніком-демонстратором GC Ukraine Павлом Міловановим.

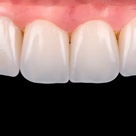
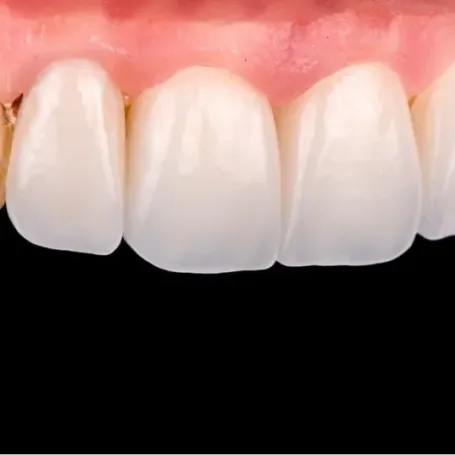
Фронтальні коронки виготовлені з GC Initial LiSi Press з облицюванням керамікою GC Initial LiSi. 

Каркас – GC Initial LiSi Press LT-A1.

Індивідуалізація каркасу та з'єднувальний шар перед нанесенням кераміки зроблено за допомогою керамічних 3-D фарб GC Initial IQ Lustre Pastes.

Відтінки кераміки Initial LiSi, що використовувалися для моделювання: Дентини D-A1 та BL-D, Емалі BL-E та EOP-3.

Також під час глазурного спікання проведена незначна зовнішня індивідуалізація за допомогою GC Initial IQ Lustre Pastes.

Клінічний випадок від техніка-демонстратора GC Ukraine Павла Мілованова
Клінічний випадок від техніка-демонстратора GC Ukraine Павла Мілованова
Клінічний випадок від техніка-демонстратора GC Ukraine Павла Мілованова
Клінічний випадок від техніка-демонстратора GC Ukraine Павла Мілованова